Short implants have been shown to be effective in various clinical situations. Several studies highlight their success and reliability.
The What and Why of Short Implants
A short implant is generally defined as one that measures less than 10 mm in length. This classification is based on various studies that have explored the use of shorter implants in dental procedures, particularly in cases where there is limited bone availability. However, in the molar region, a short implant in the molar region is typically defined as an implant with a length of 8.0 mm or less. Short implants are often used as an alternative to more complex procedures like sinus lifts or bone augmentation, especially in areas with reduced alveolar ridge height. These implants are designed to accommodate anatomical limitations and are used to support single crowns or other restorations in the molar regions of the maxilla and mandible.
Summary of some key studies (full list below)
-
A study reported on the outcomes of single-unit short implants (≤ 8.0 mm) in the maxillary and mandibular molar regions, indicating no implant or prosthesis failures over a follow-up period of 47 ± 12 months. The average marginal bone loss was minimal, supporting the use of short implants in these areas.
-
Another study assessed short implants supporting single crowns in the premolar-molar region, finding no failure events for implants and prostheses. It noted that screw-retained crowns had lower marginal bone loss compared to cemented crowns, suggesting that short implants are a viable option for single-unit prostheses in these regions.
-
A meta-analysis concluded that short implants in the posterior area of the mandible are preferable to vertical augmentation procedures, as they present similar implant and prosthetic failure rates but with greater morbidity associated with augmentation procedures.
-
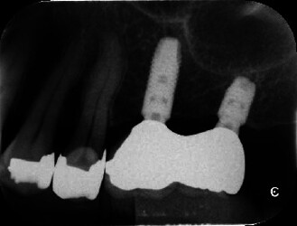
A 3-year study evaluating short (6 mm) and Longer Implants Placed Side by Side in Posterior Partially Edentulous Area concluded that: Clinical outcomes of 6 mm short implants and conventional implants placed under similar conditions of bone quality and occlusal loading were analyzed in terms of MBL changes, survival rates, and the other biological or prosthetic complications. Within the limits of this study, it can be concluded that short implants in a posterior edentulous region showed excellent results compared with conventional implants.
Intraoral radiographs showing after 3 years of loading. One short implant and one standard-length implant were placed next to each other.Source: - Clinical Evaluation of Short (6 mm) and Longer Implants Placed Side by Side in Posterior Partially Edentulous Area: A 3-Year Observational Study. International journal of dentistry. Volume: 2023, Issue: , 2023 - Masahiro Shimogishi , Sawako Kawakami , Noriko Tachikawa
References
-
Single-Unit Short Implants in the Molar Region: A Retrospective Study with a Minimum 3-Year Follow-up. The International journal of periodontics & restorative dentistry. Volume: 42, Issue: 5, 2022 Sep-Oct - Eduardo Anitua , Javier Flores , Sofia Fernandez de Retana , Mohammad Hamdan Alkhraisat
-
Clinical Performance of Short Dental Implants Supporting Single Crown Restoration in the Molar-Premolar Region: Cement Versus Screw Retention. The International journal of oral & maxillofacial implants. Volume: 34, Issue: 4, 2019 July/August - Eduardo Anitua , Mohammad Hamdan Alkhraisat
-
Clinical Assessment of Short (> 6 mm and ≤ 8.5 mm) Implants in Posterior Sites with an Average Follow-Up of 74 Months: A Retrospective Study. The International journal of oral & maxillofacial implants. Volume: 38, Issue: 5, 2023 - Gustavo Vicentis de Oliveira Fernandes , Newton da Rocha Neves Ferreira , Artak Heboyan , Leonardo Mohamad Nassani , Rafael Martins Afonso Pereira , Juliana Campos Hasse Fernandes
-
Short (5.0 × 5.0 mm) implant placements and restoration with integrated abutment crowns. Implant dentistry. Volume: 20, Issue: 2, 2011 - Young S Yi , Kim M Emanuel , Sung-Kiang Chuang
-
Retrospective clinical analysis of risk factors associated with failed short implants. Clinical implant dentistry and related research. Volume: 22, Issue: 1, 2020 - Li Chen , Tao Yang , Guangwen Yang , Na Zhou , Heng Dong , Yongbin Mou
-
Randomized controlled multicenter study comparing short dental implants (6 mm) versus longer dental implants (11-15 mm) in combination with sinus floor elevation procedures. Part 2: clinical and radiographic outcomes at 1 year of loading. Journal of clinical periodontology. Volume: 42, Issue: 11, 2015 - Gian Pietro Schincaglia , Daniel S Thoma , Robert Haas , Marcin Tutak , Abel Garcia , Thomas D Taylor , Christoph H F Hämmerle
-
Short Implants and Conventional Implants in The Residual Maxillary Alveolar Ridge: A 36-Month Follow-Up Observation. Medical science monitor : international medical journal of experimental and clinical research. Volume: 24, Issue: , 2018 - Jakub Hadzik , Maciej Krawiec , Paweł Kubasiewicz-Ross , Agata Prylińska-Czyżewska , Tomasz Gedrange , Marzena Dominiak
-
Clinical Evaluation of Short (6 mm) and Longer Implants Placed Side by Side in Posterior Partially Edentulous Area: A 3-Year Observational Study. International journal of dentistry. Volume: 2023, Issue: , 2023 - Masahiro Shimogishi , Sawako Kawakami , Noriko Tachikawa
-
Use of 6-mm Short Implants in Japanese Patients: Clinical, Radiologic, and Patient Satisfaction Results in a Retrospective Study with a 2-Year Follow-up. The International journal of periodontics & restorative dentistry. Volume: 42, Issue: 2, 2022 Mar-Apr - Kenji Takeshita , Yoshihito Naito , Tomohisa Kitamura , Katsuyuki Funaki , Marco Toia , Michele Stocchero , Hiromi Taninokuchi , Hiromitsu Morishima , Tetsu Takahashi
-
Survival Rates of Short Dental Implants (≤ 6.5 mm) Placed in Posterior Edentulous Ridges and Factors Affecting their Survival after a 12-Month Follow-up Period: A Systematic Review. The International journal of oral & maxillofacial implants. Volume: 34, Issue: 3, 2019 May/June - Sulieman S Al-Johany
