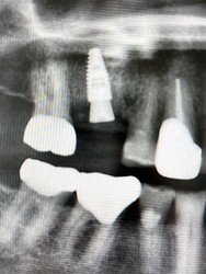
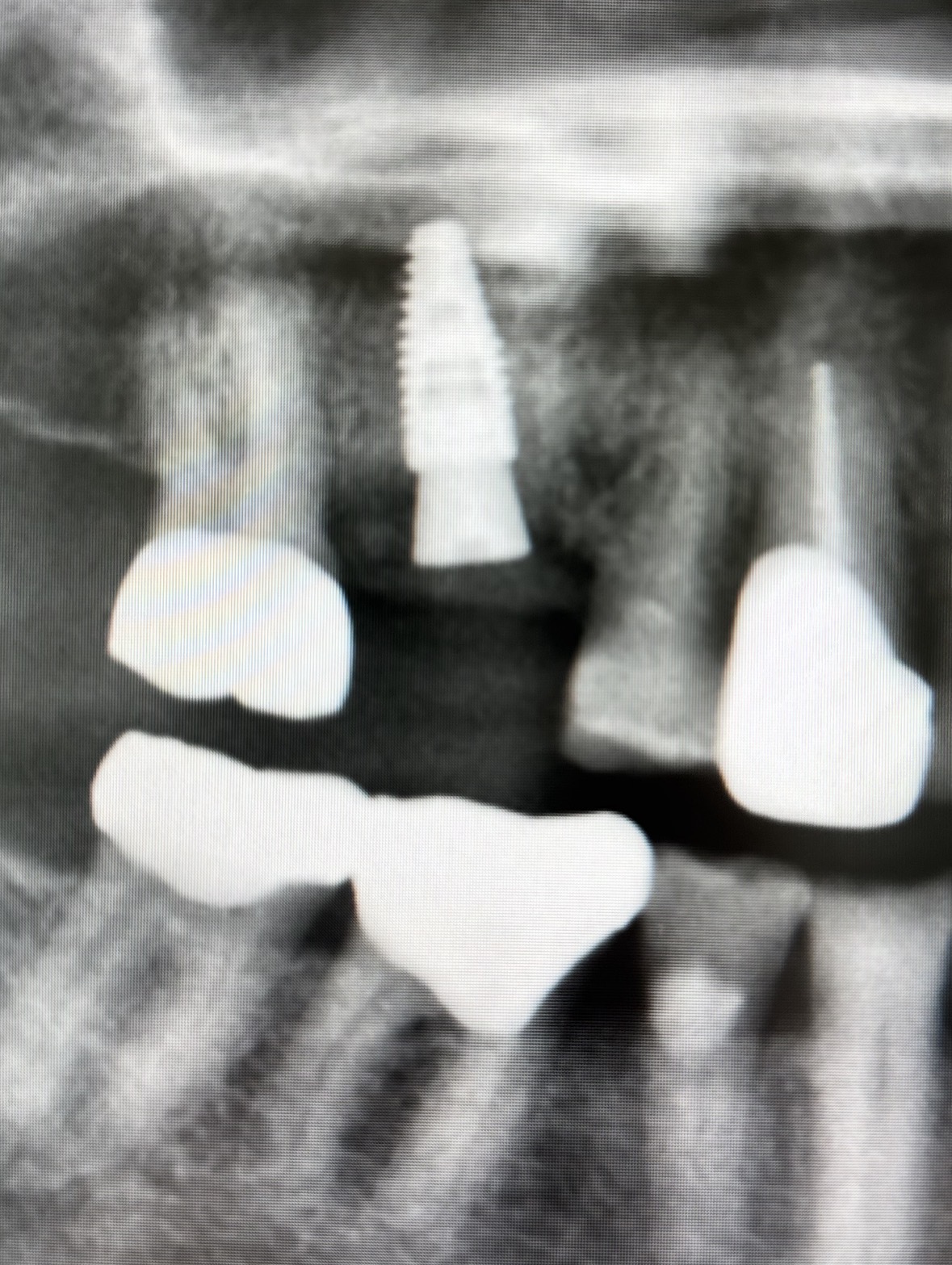
Would like feedback on implant #3. Angulation is not ideal but still restorable.
Would an angled abutment probably be required?
Would like feedback on implant #3. Angulation is not ideal but still restorable.
Would an angled abutment probably be required?
i think you should be fine w/ a screw retained straight stock abutment
the access hole will be more mesial but should be fine.
go ahead and take impression when implant is ready, send to lab.
the angulation is not the best but should be restorable w/ a straight stock (prefab) abutment. IMO
I would suggest that you not be so hard on yourself because that placement is fine… It is actually perfectly in line with the molar and it would require ortho in order to satisfy the goal of being perfectly parallel to the mesial and distal tooth. Don’t be so hard on yourself.
exactly. there’s worst. this was done in Poland. pt came to me for 2nd opinion and pt wants me to cement the lower final roundhouse bridge when the Poland dr mail the bridge to USA. there was a #14 implant which failed when the pt returned from Poland to USA.
Your placement is excellent. Perfection is unachievable but we are constantly striving for that
Nice job! Have you ever considered using tissue level implants in the posterior?