Any help is much appreciated!
@scotty are you able to work your magic please? ![]()
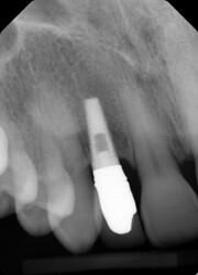
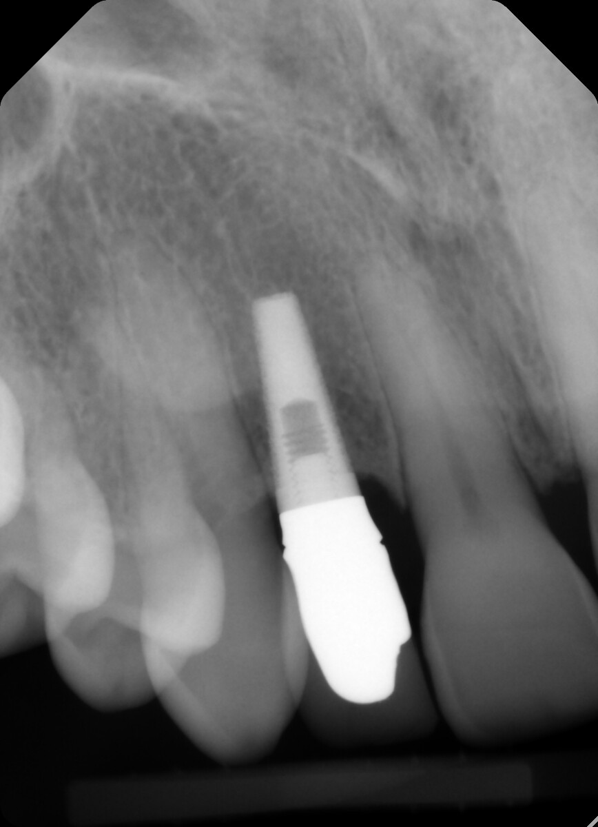
Is there any way you can remove the crown/abutment so we can see the connection. The shape of the fixture looks like it might be an Endopore. Endopore was a beaded fixture from Sybron (Innova) that was popular for a “short” period of time back in the 1990’s and early 2000’s.
This must be an Endopore implant from Innova. It was a Canadian implant that was press fit. It worked well as long as all the beaded surface remained covered in bone.
You are absolutely correct about this particular design working well as long as the beaded surface remained covered in bone. In my experience every implant brand/design/surface has worked well as long as it stayed covered in bone just like every composite resin has worked well as long as it stayed bonded to the tooth….. I think the take home message here is that stuff works as long as it works!!!
Yes, this is Innova Endopore external hex. Not sure if it’s 3.5 or 4.1 platform. Guessing 3.5 platform. You can find restorative from Titan Implants. https://titanimplants.com/innova-endopore-entegra-compatible-external-hex/
Darwin


